Enfermedad de Legg Calvé Perthes
Ortopedia y Traumatología Infantil
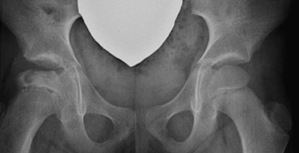
definición
Eventos repetidos de isquemia que afectan la epífisis femoral proximal, generando cambios en la cabeza femoral. 1
El paciente cuenta con cojera al caminar, dolor en rodilla o cadera, además de dificultad para movilizar la pierna.

TRATAMIENTO
El tratamiento para la enfermedad de Legg-Calvé-Perthes infantil depende de la gravedad de la afección y de los factores individuales de cada niño. Algunos de los tratamientos comunes incluyen:
- Reposo: El reposo de la articulación afectada puede ser suficiente para permitir que el hueso sane y se cure.
- Inmovilización: En algunos casos, un yeso o una férula pueden ser necesarias para mantener la articulación en su lugar mientras se cura.
- Cirugía: En casos graves, puede ser necesario realizar una cirugía para corregir la posición de la articulación y fijarla en su lugar.
- Terapia física: Un terapeuta físico puede ayudar a fortalecer los músculos y mejorar la movilidad en la articulación afectada.
- Medicación: En algunos casos, se pueden recetar medicamentos para controlar el dolor y la inflamación.
Es importante seguir las recomendaciones del médico y hacer un seguimiento adecuado para garantizar una correcta curación de la enfermedad de Legg-Calvé-Perthes infantil.
1.Herring J. Legg-Calve-Perthes disease. En: Herring JA . Tachdjian’s Pediatric Orthopedics. 3 Ed. Estados Unidos : Elsevier; 2002. p. 655-709

Dra. Ana Lucía Cadena
Especialista certificada
Facultad de Medicina de la Universidad Nacional Autónoma de México. Cédula profesional: 08733311
Consulte a un médico si el dolor es intenso o persiste por más de unos pocos días.

